検査法と診断
いくつかの検査を組み合わせて総合的に診断を行い,それぞれの状態にあった治療方針を決定していきます。
-
(a)上部消化管内視鏡
(胃カメラ)検査
ファイバースコープを口または鼻から挿入し,直接胃の中を観察します。がんの位置や大きさや拡がり,表面の形状や色調などを観察し,がんの一部を採取(生検)を行います。生検でとれたものは顕微鏡での検査(病理診断)を行い,確定診断します。
-
(b)胃X線検査
- 硫酸バリウムとガスを発生する発泡剤を服用してX線で撮影することにより胃の内側の変化をとらえます。胃全体の形や動きが分かり、がんの範囲を決めるのに重要な検査です。内視鏡検査に比べて侵襲が少ないため、胃がん検診によく用いられます。
-
(c)超音波内視鏡検査
-
- ファイバースコープの先に小型の超音波断層装置をつけて、がんの深さ(深達度)や範囲を調べます。おもに早期がんに対して行い、治療方針の決定に用います。
-
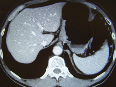
(d) CT検査
- がんの深さを調べたり,周辺組織との関係を調べたり,リンパ節転移の有無,遠隔転移の有無を調べます。発泡剤を服用して造影剤を注射して撮影します。
-
(e)PET検査
- 胃がんの場合必ずしも陽性になるとは限りませんが、他の検査で良悪の判断が付きにくい病変や検出できない病変を調べるのに用います。




