さらに詳しく肺癌について
1.肺がんの主な種類
肺がんは大きく非小細胞肺がんと小細胞肺がんに分けられています。
非小細胞がん(肺がんの約85%)
- 腺がん(せんがん)
- 肺の末梢(端の方)にできやすいタイプ。咳や痰などの症状はあまり出ません。近年増えてきており、特に非喫煙者の女性肺がんはこのタイプが多い。
- 扁平上皮がん(へんぺいじょうひがん)
- 太い気管支にできやすく血痰や咳などの症状を生じやすいタイプ。時としてがんが気道を閉塞させ無気肺(一部の肺に空気が入らない状態)を作ることがあります。
- 大細胞がん(だいさいぼうがん)
- 肺の末梢に大きな腫瘤をつくることが多いです。リンパ節や遠隔の臓器に転移することがやや多い。
小細胞がん(肺がんの約15%)
扁平上皮がんと同様に太い気管支にできやすく、抗がん剤や放射線治療が効きやすいがんですが、早い時期からリンパ節や遠隔の臓器に転移しやすい悪性度の高い肺がんです。
2.肺がんの診断
肺がんの治療を開始するためには肺がんの病理診断と病期(病気の進み具合)を十分調べ、最適の治療を考える必要があります。
病期(ステージ)診断に必要な検査
- 肺がんの局所診断
- 胸部X線、胸部CT、気管支鏡検査、経皮肺生検など
- 肺がんの転移診断
- 胸部X線、胸腹部CT、PET(ペット)、脳MRI、骨シンチなど
- その他の補助的検査
- 腫瘍マーカー
色々な検査で肺病巣の診断と病気の広がりを診断します。
胸部単純X線写真
健康診断などで撮られる一般的なレントゲンです。胸全体を1枚のレントゲンフィルムに写し出します。腫瘍やがんなど異常があると白い影となって映し出されます。
CTスキャン(Computed Tomography)
からだの断層(輪切り)の写真が得られます。最近の高性能のCT機では小さい腫瘤や早期の肺がんの発見も可能です。また、リンパ節や肝臓、副腎などの臓器への転移を調べます。
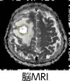
MRI(Magnetic Resonance Imaging systemエムアールアイ)
放射線を使わずに磁気を用いて病巣を写しだします。脳転移などを調べるのに使います。
骨シンチグラム
骨転移の有無を調べるアイソトープ検査です。アイソトープを注射ししばらくしてから3時間位してから約20分かけて撮影します。
骨の様子がよくわかります。
PET(Positron Emission Tomography・ペット)
がんに特異性の高い検査方法です。がん細胞は、正常細胞に比べて活動性が高く、たくさんのブドウ糖を必要とします。この性質を利用して、ブドウ糖が多く集まる場所を発見することでがんを早期発見できる検査です。アイソトープをくっつけたブドウ糖を静脈注射するとがんやがんの転移巣に陽性反応が現れます。思わぬところのがんが見つかったりする事もありますが、小さながんや初期のがんは見つからないこともあります。また、がん以外の病気でも陽性反応が出ることがありますので専門医による正確な診断が必要です。
気管支鏡検査
ファイバースコープで、気管支内を観察します。また腫瘍組織の生検(鉗子で腫瘍組織を採取)を行い、顕微鏡検査をして病巣の診断をします。
経皮針生検
気管支鏡検査で確定診断にいたらなかった場合や、気管支鏡検査ができない場合に行います。CTスキャンを見ながらからだの表面から針を刺し病巣の細胞を採取します。
外科的生検
喀痰細胞診、気管支鏡検査などの検査で確定診断を得られない場合で、肺がんが疑わしい時には確定診断のために手術を行う事があります。手術時に肺がんと診断でき、根治治療が可能な場合には同時に肺がん根治手術を行えます。
喀痰細胞診
痰の中のがん細胞を検出する検査です。顕微鏡による組織検査によって、がんの種類を見分けることもできます。
病理診断
気管支鏡検査や経皮針生検、あるいは外科的生検などで得られた肺の病巣の細胞を顕微鏡で調べます。病巣のがん細胞の有無や、肺がん細胞の組織型などが判明します。これからの治療方針検討に重要な診断です。
腫瘍マーカー
血液検査でがんの反応を調べます。CEAなどいくつかの腫瘍マーカーで、がんの存在や再発の診断に有用です。現在は、まだ確実な検査ではなく腫瘍マーカーが陽性だから必ずがんと言うわけではなく、また、反対に陰性だからがんではないと言い切れるものではありません。ひとつの目安として参考にします。
これらの検査を組み合わせ、その結果から肺がんの診断と病期診断を行い治療方針を検討します。検査結果に基づきインフォームドコンセントを経て治療を開始します。
3.肺がんの病期(進行度・ステージ)
治療をはじめる前に病期を調べます。病期は肺がんの原発巣の大きさや周囲臓器への広がり(浸潤)の有無、リンパ節転移の有無、遠隔臓器(肺、脳、骨、腎、副腎など)への転移の有無によって決まります。
下におおまかな病期の判別の仕方を示します (肺癌取り扱い規約第8版から引用)
肺がんのステージを規定する因子の一つに腫瘍のサイズがあります。腫瘍のサイズは病変全体径(a)と充実成分径(b)の二つが定義(上図)されており、ステージに影響するのは充実成分径です。 CTでは、肺がんの画像は淡いすりガラス陰影として描出される病変(下図A)や、白色の腫瘍成分が充実した病変(下図B)、充実成分とすりガラス陰影が混在した病変(下図C)などが認められます。この白色の充実成分の部位の最大径を充実成分径と定義しており、腫瘍のステージ分類に影響します。
| 病期(ステージ) | T(腫瘍) | N(リンパ節) | M(転移) |
|---|---|---|---|
| 0期 | Tis | N0 | 遠隔転移なし |
| ⅠA1期 | T1mi もしくはT1a(充実成分径≦1cm) | N0 | 遠隔転移なし |
| ⅠA2期 | T1b(充実成分径>1cmかつ≦2cm) | N0 | 遠隔転移なし |
| ⅠA3期 | T1c (充実成分径>2cmかつ≦3cm) | N0 | 遠隔転移なし |
| ⅠB期 | T2a(充実成分径>3cmかつ≦4cm、もしくは腫瘍の主気管支浸潤や臓側胸膜浸潤、無気肺・閉塞性肺炎を伴う) | N0 | 遠隔転移なし |
| ⅡA期 | T2b(充実成分径>4cmかつ≦5cm、もしくは腫瘍の主気管支浸潤や臓側胸膜浸潤、無気肺・閉塞性肺炎を伴う) | N0 | 遠隔転移なし |
| ⅡB期 | T3(充実成分径>5mかつ≦7m)もしくは壁側胸膜・胸壁・横隔神経・心膜への浸潤、同一肺葉内の転移) | N0 | 遠隔転移なし |
| T1a-T2b | N1 | 遠隔転移なし | |
| ⅢA期 | T4(充実成分径>7cmもしくは腫瘍の横隔膜・縦隔・心臓・大血管・気管 等に浸潤、同側の異なった肺葉内への転移) | N0 | 遠隔転移なし |
| T3-T4 | N1 | 遠隔転移なし | |
| T1a-T2b | N2 | 遠隔転移なし | |
| ⅢB期 | T3-T4 | N2 | 遠隔転移なし |
| T1a-T2b | N3 | 遠隔転移なし | |
| ⅢC期 | T3-T4 | N3 | 遠隔転移なし |
| ⅣA期 | 大きさ無関係 | 転移の有無無関係 | M1a-M1b |
| ⅣB期 | 大きさ無関係 | 転移の有無無関係 | M1c |
Tis:充実性成分0cmかつ病変全体径≦3cm、T1mi:充実成分径≦0.5cmかつ病変全体径≦3cm、N0:リンパ節転移なし、N1:肺内リンパ節転移あり、N2:縦隔リンパ節転移あり、N3:対側縦隔リンパ節転移あり、M1a:対側肺内への転移、悪性胸水、悪性心嚢水、M1b:肺以外の一臓器への単発転移、M1c:肺以外の多発遠隔転移
4.肺がんの治療
肺がんの治療方法は、主に3つの治療方法が有ります。 手術でがん病巣を切除する外科療法、抗がん剤を用いる化学療法、放射線をあてる放射線療法があります。治療方法は肺がんの組織型(非小細胞がんあるいは小細胞がん)、がんの進行度、患者さんの健康状態などの身体的条件を基に医師や患者さん本人、ご家族とともに十分相談し選択します。また、ひとつだけの治療ではなく、いくつかの治療法を組み合わせる集学的治療を要することも有ります。
一般的に肺がんの根治的治療は手術による切除と考えられていますので、非小細胞肺がんのⅠ期、Ⅱ期やⅢ期の一部までは根治的治療として病巣と周辺リンパ節を取り除く外科療法が推奨されます。Ⅰ期やⅡ期でも色々な理由で手術が適切でない場合は放射線や化学療法を行います。また、Ⅱ期やⅢ期では外科療法が行われた後に化学療法を追加したり、手術の前に化学療法や放射線療法を行いがんが小さくなった後に外科療法を行うことがあります。やや進んだⅢ期やⅣ期では化学療法や放射線療法を行います。
小細胞肺がんではⅠ期は外科療法も適応となります。Ⅱ期より進行している場合は化学療法と放射線療法となります。
外科療法
手術によってがんを取り除く最も治癒の可能性の高い肺がんの根治治療です。病期Ⅰ期・Ⅱ期および一部のⅢ期が手術適応です。最も多く行われている標準的な手術は、病巣のある肺葉を切除する肺葉切除術+周辺のリンパ節を取り除くリンパ節郭清術です。最近ではほとんどの手術を胸腔鏡(きょうくうきょう)による手術を行っています。これは切開創が小さく患者さんへの負担が少なくすることが利点です。腫瘍が大きい時や、周辺臓器への浸潤が認められ隣接臓器の合併切除を行う場合は開胸手術を行います。 反対に呼吸機能を保存するためや腫瘍が比較的小さく肺葉切除を行わなくても十分根治性が期待できる場合には肺区域切除や肺部分切除などの縮小手術を行います。
放射線療法
がん細胞を死滅させるためにがん病巣に高エネルギー放射線を照射します。手術と同様にがんの強力な局所療法で、手術の出来ない患者さんには根治治療としても期待できます。また、治癒が難しい状態でも病気の進行を遅らせたり、症状をやわらげるために有効な治療方法です。特に脳転移病巣に対してはガンマナイフと呼ばれる照射方法で良好な治療効果が望めます。最近は定位放射線治療といった1回に大量の照射を行う治療も行われています。手術の前後に化学療法と組み合わせて放射線治療を行うこともあります。
化学療法
からだの中のがん細胞を消滅させるために抗がん剤を使用します。抗がん剤が全身に行き渡り治療効果を発揮するので全身化学療法と言われており、生存期間の延長やQOL(生活の質)の改善が認められます。たくさんの薬が開発されており抗がん剤を単独で、あるいは多剤併用投与を行います。通常は抗がん剤の静脈注射を3?4週間間隔で行うか、または内服抗がん剤で治療します。
5.肺がんの手術
肺がんの手術は肺葉切除に代表されますが、肺全摘術や肺部分切除術など病巣の広がり具合により色々な術式があります。最も標準的肺葉切除の手術方法を中心に肺がんの手術について解説します。
肺葉切除+リンパ節郭清
肺がんの手術で最も標準的で多い手術方法です。肺は右が上葉、中葉、下葉の3葉に左は上葉、下葉の2用に分かれています。この肺葉を葉単位で摘除するのが肺葉切除です。同時に行うリンパ節郭清では肺内のリンパ節は肺葉とともに切除されますが、縦隔と呼ぶ肺のすぐ近くのリンパ節のたくさんある胸の中心部のリンパ節も系統的に摘出(リンパ節郭清)します。転移の可能性のあるリンパ節を取り除き検査する事により、病期の判定をおこなったり、手術後の治療方針を決めます。
肺がんの手術では病巣のある肺葉を切除する肺葉切除のほかに肺全摘術、周辺臓器を病巣とともに切除する拡大手術や病巣の部分だけを切除する縮小手術があります。
一側肺全摘術
がん病巣が大きく複数の肺葉を巻き込んでいる場合や、がん病巣が肺の中枢部に位置する時に行われます。片方の肺葉をすべて摘出します。リンパ節郭清も行います。
縮小手術(肺区域切除・肺楔状切除)
がん病巣のある肺葉の一部をがん病巣とともに切除する手術法です。がん病巣が比較的小さく周囲への浸潤がないと判断できる時に呼吸機能を温存する目的で肺を小さく切除します。呼吸機能の低下や肺疾患のあるときにも縮小手術が行われます。肺区域切除や肺部分切除と呼んでいます。呼吸機能が損なわれにくい利点があります。
拡大手術
がん病巣が肺の周辺臓器に直接浸潤している場合に肺と周辺臓器を一緒に取り除く手術方法です。肋骨(胸壁)浸潤、心膜、横隔膜などの一部をがん病巣とともに合併切除します。
胸腔鏡手術と開胸手術
標準的開胸手術では10数センチの切開創を開胸器により開創し手術を行っています。
胸腔鏡手術は胸部に数センチの小切開創1カ所と、1センチ程度の切開創2カ所の合計3カ所の切開創からカメラや手術器具を挿入し肺の手術を行っています。
当科では多くの手術を胸腔鏡手術で行っていますが、安全な手術進行のためや確実に病巣を切除するために手術中に胸腔鏡手術から開胸手術に変更する事があります。
通常の入院期間
肺・胸部の標準的入院期間は手術後1週間程度です。
6.肺がんの術後治療
肺がんの根治切除の結果、最終的な病期がⅠA3期以上の場合、術後再発を予防するために化学療法を行うことがすすめられています。
内服による化学療法
ⅠA3期およびⅠB期の肺がんにおいては、テガフール・ウラシル配合剤(UFT)による化学療法が推奨されています。2年間内服することにより、手術単独群に比較し、ⅠA3期で6%、ⅠB期で11%の5年生存率の上乗せ効果が得られます。
点滴による化学療法
Ⅱ期以上の肺がんにおいては、点滴による化学療法が推奨されています。一般的にはシスプラチンとナベルビンという薬剤による治療を入院の上、計4回行います。結果として、手術単独群に比較し、Ⅱ期で11%、Ⅲ期では15%の5年生存率の上乗せ効果が得られます。
内服、点滴による術後化学療法には、生存率の向上という利点もあれば、副作用という欠点もあります。術後の患者様の状態により投与を回避する場合もあります。当科では、呼吸器外科・腫瘍内科・患者さん本人・ご家族とよく相談し、最終的に決定しています。
7.肺がん治療の効果(5年生存率)
肺がんは色々な治療を組み合わせて最善を尽くしてもなかなか治らない時があります。再発することも比較的多いので、やはり初期の段階で発見し治療を行う早期発見早期治療が最重要です。図1に当科の術後の成績を示します。
8.肺がんの転移・再発
肺がんは他臓器に転移する事があります。肺がんと診断し病期に見合った最善の根治治療を行っても、手術で原発病巣を切除しても再発する事があります。
肺がんは血の流れやリンパの流れに乗って色々な臓器に転移する事があり、転移した臓器を侵し臓器の働きを障害します。
肺がんが特に転移・再発しやすい臓器は肺、脳、骨、腎、副腎、肝臓などがあります。
実は転移・再発巣は初回手術時から秘かに存在しているのです。手術により原病巣を切除した後、数ヶ月から数年後発見されるこの転移や再発という病巣は、検査ではわからないほど小さい転移巣がある期間経過し、増大した結果CT検査などで発見されるのです。
転移・再発病巣にも治療を行います。
転移・再発巣の部位や広がりを調べ、手術治療、放射線治療、化学療法を行います。
転移・再発巣も早期に発見し治療を行う事で、進行を抑える事が十分可能です。
初回治療後も定期検査が大事です。






